필립스 전시 부스에서 다양한 임상 분과에 최적화된 초음파 솔루션 공개
고품질 영상 구현과 함께 검사 효율성 및 의료진 워크플로우 개선 지원하는 다양한 기능 탑재
헬스 테크놀로지 분야 선도 기업 ㈜필립스코리아 (대표: 최낙훈)는 3월 20일부터 23일까지 서울 삼성동 코엑스에서 열리는 제40회 국제의료기기∙병원설비전시회(Korea International Medical & Hospital Equipment Show, KIMES 2025)에 참가해 다양한 임상 분과에서 활용할 수 있는 초음파 포트폴리오를 선보인다.
의료 기술의 발전은 단순한 진단을 넘어 환자의 삶의 질을 높이고, 의료진의 업무 효율성을 향상하는 방향으로 나아가고 있다. 특히, 의료 영상 및 초음파 기술은 신속하고 정확한 진단을 지원하며, 의료진이 보다 효과적으로 치료 계획을 수립할 수 있도록 돕는다.
기술의 혁신은 의료 환경을 변화시키는 핵심 요소로 자리 잡고 있다. 이에 필립스는 ‘더 나은 삶, 더 나은 미래(Better Life, Better Future)’라는 주제로 열리는 올해 KIMES에서 다양한 임상 분과에서 활용할 수 있는 초음파 포트폴리오를 선보일 예정이다. 특히, 필립스의 최신 기술을 집약하여 검사 속도와 사용자 편의성을 향상한 새로운 버전의 고사양 초음파 시스템도 국내 최초로 공개한다.
정밀한 심장 평가 기능 탑재한 필립스 범용 초음파 시스템 - 어피니티(Affiniti) VM 11.0
필립스 어피니티 시리즈는 고사양 초음파 장비의 최신 기술과 플랫폼을 공유하여 다양한 임상 영역에서 범용적으로 활용할 수 있는 초음파 시스템이다. 최근 VM 11.0 버전으로 업그레이드되면서 의료진은 AI 기반 자동화 솔루션을 적용해 업무 효율성을 높이고 보다 신속한 진단을 수행할 수 있다.
특히 심장 진단 분야에서는 자동 심근 정밀평가(Auto Strain) 기능을 강화해, 기존 종단면 변형값(Global Longitudinal Strain, GLS) 분석뿐만 아니라 심장의 구혈률(Ejection Fraction, EF) 및 구획 심근 운동평가(Segmental Wall Motion Scoring, SWMS)까지 자동으로 측정할 수 있도록 개선했다.
또한, 2D 및 도플러 자동 측정 기능, 2D 오토스트레인 LV(2D AutoStrain LV) 등 AI 기반 기능이 추가되어 보다 효율적인 검사 환경을 조성한다. 영상 품질 또한 향상되어 오토스캔(AutoSCAN) 기능을 통해 선명도를 높이고, 플로우 뷰어(Flow Viewer) 기능을 활용해 혈류 흐름을 3D 형태로 시각화함으로써 혈관 구조를 직관적으로 분석할 수 있도록 지원한다.
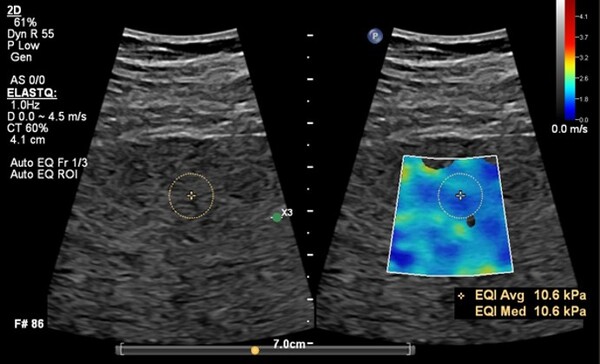
새로운 버전의 필립스 고사양 초음파 시스템 - 에픽 엘리트(EPIQ Elite - VM 12.0) 국내 첫 선
새로운 버전의 에픽 엘리트에는 워크플로우를 향상하는 간섬유화 검사 기능인 ‘오토 엘라스트큐(Auto ElastQ)’를 새롭게 탑재했다. 전단파 탄성 초음파(Shear Wave Elastography,SWE) 데이터를 자동으로 분석하고 최적의 측정 프레임과 검사 관심 영역(ROI, Region of Interest)을 설정하는 기능으로 검사 효율성과 진단 정확도를 향상한다. 기존에는 의료진이 수동으로 프레임과 ROI를 지정해야 했으나, 이제는 시스템이 자동으로 최적의 측정 위치를 설정하여 더욱 빠르고 정밀한 검사가 가능하다. 이를 통해 검사 시간이 기존 대비 60% 단축되고, 키 스트로크(조작 횟수)가 29% 감소해 의료진의 업무 부담을 줄이는 데 기여한다.
에픽 엘리트는 2D 이미지 최적화 기술을 적용해 갑상선, 유방, 근골격, 혈관, 산부인과 등 다양한 임상 분야에서 영상 품질을 향상했다. 이를 통해 미세 병변과 혈류 흐름을 더욱 정밀하게 평가할 수 있도록 지원한다. 특히, 2D 영상에서 조직의 경계선 선명도(Edge Definition), 대비 해상도(Contrast Resolution)가 개선되어 보다 선명한 영상을 제공하며, 미세 구조를 더욱 정확하게 시각화할 수 있다. 또한, 기존 VM 10.0 버전에서 제한적으로 지원되었던 ‘플로우 뷰어(Flow Viewer)’ 기능이 다양한 프리셋(Preset, 사전 설정값)에서 활용 가능하도록 확대되었다.
이와 함께 의료진의 워크플로우 개선을 지원하는 ‘퀵 론치 프리셋(Quick Launch Preset)’, ‘임포트 바디 마커(Import Body Marker)’, ‘컬러 코디드 아노테이션(Color Coded Annotation)’ 기능도 새롭게 추가되었다. 이를 통해 자주 사용하는 프리셋을 한 번의 터치로 검사 환경에 맞게 전환할 수 있으며, 해부학적 구조 마커를 자유롭게 추가하거나 편집할 수 있다. 또한, 동일한 그룹 내 데이터를 색상별로 자동 정리하는 기능이 제공되어 아노테이션 관리가 더욱 편리해졌다.
또한, 새로운 버전의 에픽 엘리트에서도 이전 VM 10.0 버전부터 적용된 mL26-8 프로브를 장착할 수 있다. mL26-8 프로브는 표재성 장기에 대한 뛰어난 해상도를 가지는 고주파(High MHz) 프로브로 환자의 작은 신체 부위부터 근골격계뿐만 아니라 유방, 갑상선 진단 등 다양한 임상 영역에서도 폭넓게 활용할 수 있다.
이 외에도 병원 내 응급실, 중환자실, 혈관조영실 등 다양한 임상 환경에서 기동성 있게 운용할 수 있는 ‘콤팩트 5500(Compact 5500)’과 스마트폰 및 태블릿PC에 바로 연결해 즉시 활용 가능한 앱 기반 모바일 초음파 ‘루미파이(Lumify)’도 현장에서 확인할 수 있다.
